ブログ
カテゴリー:
【矯正ブログvol.1】SMA矯正始めました!
こんにちは!歯科助手の橋本です。🦷
先月「SMA矯正を始めます!」とブログを書かせていただきました。
ついに先日マウスピースが届き私の矯正生活がスタートしました!
実は始める前まで、「本当に毎日続けられるかな?」「痛かったらどうしよう」と、歯科助手である私でも正直不安でいっぱいでした。
【初日の違和感と睡眠について】
初めて装着した瞬間は、やはり独特の「違和感」があります。
正直なところ、最初は「これ、気になって寝られないかも…」と少し構えてしまいました。
でも、いざ布団に入ってみると不思議なもので、就寝中は気にならずにぐっすり眠ることができました!
これには自分でも驚きです。ですが、日中はやはりまだ慣れてない面もあり外したくなってしまったり、しゃべりにくさも多少はあります。
【痛みについて】
気になる「痛み」ですが、寝られないような激痛は全くありません。
ただ、歯が動いている証拠でもある「ギュッとした圧迫感」や「じんじんする感じ」は多少あります。ですが、日常生活に支障が出るほどではないので安心してくださいね。
【SMA矯正ならではの特徴】
よく聞く「インビザライン」などの矯正は、歯に「アタッチメント」というプラスチックレジンの突起をつけて動かしていきますが、私の行っているSMA矯正は突起をつけません。
その代わりに、装着前にマウスピースをお湯につけてお口に入れます。お口に入れると、体温で元の「理想の歯の並びの形」に戻ろうとする力が持続的に働きます。これがSMA矯正ならではの大きな違いです。
こちらが届いたマウスピースになります!

かなり見た目もシンプルではないでしょうか?
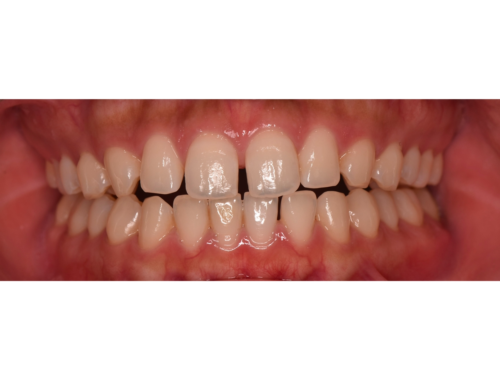
こちらが矯正前のbeforeの写真です。
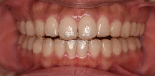
こちらがマウスピースを装着した時の写真です。
働いてるスタッフや友人や家族には着けてるのさえも気づかれなくらいでした。
まだ始まったばっかりですが、これから歯がどんどん動いていくのが楽しみです!
今後も矯正記録アップしていきますので、よろしくお願いします!
矯正をしてみたい!でも一歩が踏み出せない、、と悩まれてる方はこのブログをみて少しでも参考にしていただけると嬉しいです☺️
広川歯科医院
〒662-0825 兵庫県西宮市門戸荘17-50 シャンベルタン女学院通り2F
阪急今津線 門戸厄神駅 西口より徒歩30秒
TEL:0798-52-9580


